Der diagnostische Blick
Der diagnostische Blick

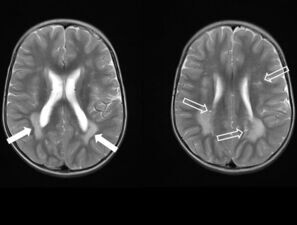
17-jährige Patientin mit Gangataxie und Fußheberschwäche

Eine Jugendliche berichtet, dass sie seit einigen Tagen häufig stolpert und stürzt, Probleme beim Treppensteigen hat und ihr das Handy häufig aus der Hand fällt. Im Urin sind Cannabinoide nachweisbar und die spinale MRT zeigt in Höhe der HWS ein "umgekehrtes V". Wie lautet Ihre Diagnose? Was könnte der Auslöser sein?
Der diagnostische Blick

Zwei Brüder mit Haut- und Schleimhautveränderungen

Vorgestellt wurden zwei Brüder im Alter von 5 und 10 Jahren mit Veränderungen der Haut an Armen und Beinen (Maculae mit Blasen) sowie der Mundschleimhaut (Erosionen und Krusten). Außerdem wiesen beiden einen bronchopulmonalen Infekt auf. Wie lautet Ihre Diagnose?
Der diagnostische Blick

4-Jährige mit Bauchschmerzen, Erbrechen und Hepatosplenomega...

Vorgestellt wird ein 4-jähriges Mädchen mit Fieber, Bauchschmerzen, Erbrechen, häufigen Atemwegsinfekten und anderen Auffälligkeiten. Eine Knochenmarkbiopsie zeigt Schaumzellen. Wie lautet Ihre Verdachtsdiagnose, und wie gehen Sie weiter vor?
Der diagnostische Blick

3-Jährige mit Entwicklungsstörung, fazialen Auffälligkeiten ...

Vorgestellt wird ein Mädchen mit globaler Entwicklungsstörung. Wichtige Meilensteine wurden nicht zeitgerecht erreicht. Es fallen einige Besonderheiten im Gesicht und an der Hand auf. Wie lautet Ihre Verdachtsdiagnose? Welche weitere Diagnostik würden Sie veranlassen?
Der diagnotische Blick

Ein 15-jähriger Junge mit Untergewicht und Ikterus

Bei einem Jungen fällt eine gelbliche Haut- und Augenverfärbung auf, der BMI liegt auf der 1. Perzentile, er gibt eine sehr einseitige Ernährungsweise an. Klinisch-neurologisch ist der Romberg-Stehversuch positiv. Wie lautet Ihre Verdachtsdiagnose? Was ist zu tun?
Der diagnostische Blick

17-Jähriger mit Abflachung der linken Thoraxmuskulatur

Ein jugendlicher Patient stellt sich vor mit einer Volumenminderung der Brustmuskulatur links gegenüber rechts. An Arm und Hand bestehen keine Besonderheiten. Wie lautet Ihre Diagnose?
Der diagnostische Blick

17-Jähriger mit plötzlichen, unerklärlichen neurologischen S...

Ein 17-Jähriger wird nach generalisiertem zerebralen Anfall über den Schockraum in die Klinik eingeliefert. Seine Freundin berichtet, ihn plötzlich krampfend vorgefunden zu haben. Die Ursache der plötzlich aufgetretenen Symptome bei einem vorher gesunden Patienten bleiben nach der Anamnese zunächst unklar. Sind evtl. Drogen im Spiel?
Der diagnostische Blick

Ein 11-jähriges Mädchen mit blutigen Diarrhoen, akuter Niere...

Das Mädchen mit den oben genannten sowie weiteren Symptomen und Befunden war im frühen Sommer mit seiner Familie im Hotelurlaub im Nahen Osten gewesen. Dort erkrankte das zuvor gesunde Kind mit blutigen Diarrhoen und ausgeprägtem allgemeinen Krankheitsgefühl. Wie lautet Ihre Diagnose?
Der diagnostische Blick

Frühgeborenes (31+2 SSW) mit progredientem Erbrechen

Der Kostaufbau bei einem Frühgeborenen - zunächst über Magensonde und begleitende teilparenterale Ernärung - konnte am 8. Lebenstag beendet werden. Am 23. Lebenstag zeigte der Patient erneut wiederholtes und im Verlauf zunehmendes Erbrechen. Außerdem: verringerte Stuhlmenge, weiches Abdomen, spärliche Darmgeräusche, ikterisches Hautkolorit. Wie lautet Ihre Verdachtsdiagnose?
Der diagnostische Blick

Ein 2-jähriger Junge mit Makrozephalie und Leukenzephalopath...

Ein Junge wird für eine zweite Meinung zu einer unklaren Leukenzephalopathie vorgestellt. Bei der Untersuchung fallen eine Makrozephalie, Pigmentflecken auf der Glans penis und narbige Veränderungen am rechten Fußrücken nach Entfernung einer "Warze" auf. Wie lautet Ihre Verdachtsdiagnose?
Der diagnostische Blick

Ein 14-Jähriger mit schmerzhafter Rötung und Hyperhidrose de...

In der klinischen Untersuchung des Patienten zeigte sich folgender Befund: Verquellung der Haut in den druckbelasteten Fußsohlenbereichen, punktförmige Hornschichtdefekte und starker Fötor. Wie lautet Ihre Verdachtsdiagnose?
Der diagnostische Blick

Ein 16-jähriges Mädchen mit Rückenschmerzen und Kyphose

Anfänglich starke Rückenschmerzen, obwohl kein Trauma vorangegangen war, und 9 Monate später eine neu aufgetretene Hyperkyphose der Brustwirbelsäule mit zunehmenden Schmerzen. Wie lautet Ihre Diagnose?
Der diagnostische Blick

Ein 3-Jähriger mit Hemiparese rechts

Bei der körperlichen Untersuchung zeigt sich unter anderem ein unsicheres, staksiges Gangbild mit fehlender Abrollbewegung. Zahlreiche Gelenke weisen Schonhaltungen und Fehlstellungen auf, er führt Ausgleichbewegungen aus, es bestehen Kontrakturen und Muskelatrophien. Wie lautet Ihre Diagnose?
Der diagnostische Blick

Ein 8-jähriger Junge mit kreisrunder Hautnekrose am linken O...

Es wird ein Kind vorgestellt mit einer Schwellung und Rötung an der Innenseite des linken Oberarms, die sich um eine schon seit etwa zwei Wochen bestehende kreisrunde schwarze Hautläsion herum entwickelt hat. Wie lautet Ihre Verdachtsdiagnose?
Der diagnostische Blick

Ein 20 Monate altes Mädchen mit Dysmorphie-Retardierungs-Syn...

Sofern Sie hier keine Blickdiagnose stellen können, mit welchem Vorgehen könnten Sie anhand der fazialen Dysmorphien evtl. eine diagnostische Zuordnung erreichen? Welches Programm bzw. welches Instrument könnte hier hilfreich sein?
Der diagnostische Blick

10-jähriges Mädchen mit rezidivierenden abendlichen Beinschm...

Die Eltern haben ihr Kind wegen der Beinschmerzen im Laufe der Jahre mehreren Kinderärzten vorgestellt. Dabei wurden unterschiedliche Diagnosen gestellt. Wie lautet Ihre Verdachtsdiagnose?
Der diagnostische Blick

15-jähriges Mädchen mit subakutem Bauchschmerz und Infektzei...

Appendizitis, Ovarialtorsion, Urolithiasis, infinzierte Urachuszyste oder etwas anderes? Fallbericht einer seltenen Differenzialdiagnose. Ein Fall aus der Reihe "Der diagnostische Blick".
Der diagnostische Blick

Eine frühkindliche Epilepsie? Oder doch etwas ganz anderes?

Merkwürdige Bewegungsmuster bei Säuglingen werden oft in der Praxis berichtet und sind ohne unmittelbare Beobachtung der Symptomatik meist schwer einzuordnen. Ein Fall aus der Reihe "Der diganostische Blick".
Der diagnostische Blick

Persistierende Hautveränderungen an früheren Impfstellen

Lang andauernde, juckende Hauterscheinungen nach den üblichen Grundimmunisierungen sind häufiger als gemeinhin angenommen. Ein Fall aus der Rubrik "Der diagnostische Blick". Wie lautet Ihre Diagnose? Was tun?
Der diagnostische Blick

Beidseitige Sehminderung und Gesichtsfeldeinschränkung

Ein Fallbeispiel aus der Ophthalmologie - an welche Erkrankung ist hier zu denken? Die Autoren stellen den Befund, Symptome, Verlauf und Behandlung einer seltenen Erkrankung dar.