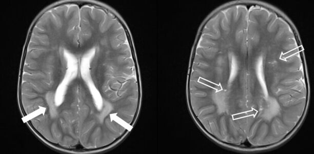
Ein Junge wird für eine zweite Meinung zu einer unklaren Leukenzephalopathie vorgestellt. Bei der Untersuchung fallen eine Makrozephalie, Pigmentflecken auf der Glans penis und narbige Veränderungen am rechten Fußrücken nach Entfernung einer "Warze" auf. Wie lautet Ihre Verdachtsdiagnose?
Dieser Beitrag steht nur registrierten Benutzern mit Berufsverifizierung zur Verfügung. Jetzt anmelden.Der diagnostische Blick
Ein 2-jähriger Junge mit Makrozephalie und Leukenzephalopathie
© Kirchheim/privat
