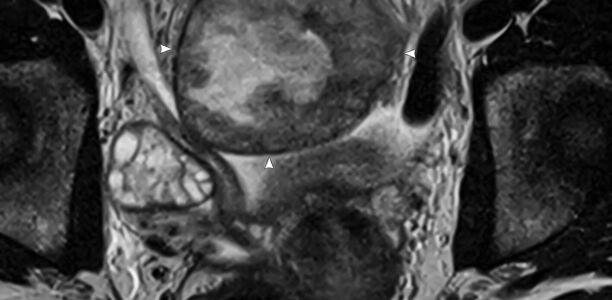
Appendizitis, Ovarialtorsion, Urolithiasis, infinzierte Urachuszyste oder etwas anderes? Fallbericht einer seltenen Differenzialdiagnose. Ein Fall aus der Reihe "Der diagnostische Blick".
Dieser Beitrag steht nur registrierten Benutzern mit Berufsverifizierung zur Verfügung. Jetzt anmelden.Der diagnostische Blick
15-jähriges Mädchen mit subakuten Bauchschmerzen und erhöhten Infektzeichen
